症例紹介Cases
矯正治療の結果、歯ぐきがやせて下がってしまったケース
矯正治療をして歯ぐきが下がってしまい、治して欲しいという理由で来院されました。日本人の場合、特に歯を支える骨や歯ぐきが薄いことが多く、矯正治療を行うことにより、さらにその状態を悪化させることがあります。治療方法は、ご自身の歯ぐきを薄くなってしまった歯ぐきの部分に移植する、結合組織を使った根面被覆術という治療法を選択します。
治療の模式図
①上顎の裏側から歯茎の一部を採取

②採取した歯茎を目的の場所に挟み込む

③挟み込んだ歯茎を縫い合わせて固定する

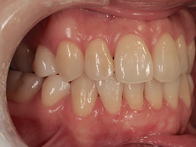
正面から見た口中の写真
水色矢印の部分が対象部位です。歯ぐきがやせてしまい、歯根(歯の根)が見えてしまっています。このままにしておくと、見た目の問題はもちろん歯がしみたり、虫歯になりやすいなど問題が悪化する恐れがあります。また歯ぐきが薄いため、歯ブラシなどの摩擦刺激でさらに歯ぐきがやせてしまう恐れがあります。緑色矢印が手術により再生された部分となります。ご自身の歯ぐきを移植することで、拒絶反応も少なく良好な結果を得ることができています。右側にまだ歯ぐきがやせてしまっている部分が残っていますが、少しずつ自分のペースで治療をされており、現在継続中の患者様です。
治療前

治療後(手術後2年経過)

治療後(手術後3年経過)

治療後(手術後12年経過)

治療後(手術後12年経過)

治療後(手術後12年経過)

- 治療期間
- 約6ヶ月
- 費用
- 歯ぐきの移植手術:13.2万円(税込)
- リスク
- 歯ぐきの移植手術は、移植片(採取した組織)が壊死するリスク、使用薬剤のアレルギーなどがあります。
治療費、期間、リスクはあくまで参考(目安)であり、患者個々の状態により異なる場合があります。結果を保証するものではございませんので、必ず主治医と相談してください。



