症例紹介Cases
上顎臼歯部の感染根管に対して、外科的処置を併用して治療したケース
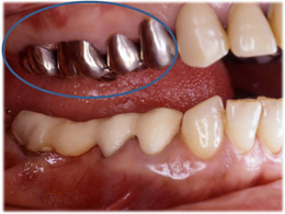
初診時(治療前)
「上の奥歯が噛めないほど痛む」という理由で来院されました。クラウン(差し歯)の中の虫歯の問題や歯の神経の問題により、歯茎にイボができていました。可能な限り歯を抜きたくないとのことで、歯の神経の治療を行った後、特殊な歯周外科手術を併用しての治療を行うこととなりました。
矢印(黄色)が指す歯グキに、イボみたいなものができています。

歯周外科手術 手術中
特殊な歯周外科手術を行っています。
手術後
治療前(初診時)の写真と比べてみると、歯グキにあったイボが無くなっているのがわかります。通常の歯の神経の治療を行い改善がみられなかったため、特殊な歯周外科手術を行っています。

治療前後のレントゲン写真の比較
初診(治療前)レントゲン写真をみると、歯の神経の治療がきちんとされないままクラウン(差し歯)がかぶせられていることが原因で、歯グキにイボが出来た事が予測されました。黄色矢印の部分に問題を抱えています。
治療後のレントゲン写真の青矢印部と治療前のレントゲン写真の黄色矢印を比較すると改善傾向がみられます。

治療後
この患者さまは、歯の神経の問題と歯グキの問題を抱えた「歯内-歯周病変」という複雑な経過をたどった、非常にリスクの高い症例でした。抜歯(歯を抜く)処置の可能性も否定できない状態でしたが、通常の歯の神経の治療では改善がみられなかったため、特殊な歯周外科手術を併用することによりリスクを減少させることができました。「歯のイボも消えて、なんでも噛める元の状態になった」と喜んでいただくことができました。

- 治療期間
- 約6ヶ月(歯の神経と、歯ぐきの手術治療のみ)
- 費用
- 約11,000円(税込)程度(保険適応)
- リスク
- 治療により、一時的に腫れたり痛みが出る場合があります。また、治療の結果治りが悪く、抜歯になる可能性もあります。
治療費、期間、リスクはあくまで参考(目安)であり、患者個々の状態により異なる場合があります。結果を保証するものではございませんので、必ず主治医と相談してください。



