症例紹介Cases
上顎臼歯部の感染根管に対して、歯科用CTにて診断、処置をしたケース
左側がおかしい感じがするとの事で来院。他院にて歯の治療中で、異常はないと言われたが、頭痛がしたりするという訴えをされていました。
通常のデンタルレントゲン写真診断だけでは診断が難しいので、歯科用CTスキャンを利用して治療を進めていきました。
初診時パノラマ
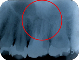
この状態のレントゲン写真では、さほどひどい状態にはみえませんが赤丸印の部分に問題がある可能性を疑います。

左上第一大臼歯部デンタルレントゲン(初診時)
歯の神経の治療(根管治療)が適切に行われておらず、
問題があることがうかがえました。

歯科用CTスキャンによる診断
赤矢印部に注目。上顎洞という部分に異常な像が認められました。緑矢印の3D像では、一部の骨を溶かしている像まで認められます。
また、頬側近心根に第2根管があり、全く処置がされていないこともわかりました。

左上第一大臼歯部(左上6部)銀歯(インレー)除去
銀歯(インレー)の下も虫歯になっていました。

左上第一大臼歯部、根管口明示(マイクロスコープによる)
赤矢印部に治療されていない根管がある。肉眼では見つけにくい。
緑矢印部 : 根管発見、治療開始中。


歯科用CTスキャンにて治療経過の確認
青矢印部に注目。上顎洞内の異常な像は消えていることを確認。水色矢印部の3D画像でも骨が溶ける様に見えていたのもなくなりました。
この時には頭痛などの違和感もなくなっていました。この状態を確認した後、最終的な歯の神経の薬を入れていきます。

デンタルレントゲン写真(治療後)
歯の神経の薬がきちんと根の先端まで入っていることがわかります。

補綴(銀歯を被せた治療)後1年経過のデンタルレントゲン像

治療を終えて…
この患者様は左側の痛みが治らないので、数件の耳鼻科や歯科医院をぐるぐる廻られていたそうです。全ての治療に歯科用CTは必要ないですが、通常の状態で診断がつきにくい場合などに当クリニックでは使用しています。CT像や臨床症状より歯性上顎洞炎(いわゆる蓄膿症)と診断して治療を進めていきました。幸いにも歯を抜かずに歯の神経の治療がうまく終えることができました。歯の神経を取る治療は、治療が終わってすぐに症状が出るケースよりも、治療後数年経過した後に症状が出ることが多い難しい治療です。
- 治療期間
- 約2ヶ月(歯の神経の治療のみ)
- 費用
- 約6,600円(税込)程度(保険適応)
- リスク
- 治療により、一時的に腫れたり痛みが出る場合があります。また、治療の結果治りが悪く、抜歯になる可能性もあります。
治療費、期間、リスクはあくまで参考(目安)であり、患者個々の状態により異なる場合があります。結果を保証するものではございませんので、必ず主治医と相談してください。



