症例紹介Cases
銀歯や虫歯などを、歯の神経の治療とともに全て白い歯で治療したケース
治療前レントゲン写真
歯をすべて白くしたいとの理由で来院された患者様です。診査させていただいた結果、虫歯以外にも歯の神経のトラブルを抱えており、その点の改善も試みた治療例です。
緑の矢印に注目、歯の神経の薬がきちんと先端まで入っておらず、根の先が黒く写っているのがわかります。噛むと違和感を訴えられていたことより、膿がたまっていたことが考えられました。

治療後レントゲン写真
感染根管治療(歯の神経の治療)を行うことにより、歯の根の周りの黒い影はきれいになくなり、自覚症状である違和感も消えました。家の建築でたとえるなら基礎工事もきちんとされている状態です。

歯の神経の治療中
感染予防のため、ラバーダムを行います。
CT画像で診断を行い、治療を行いました。


正面から見た写真
歯と歯の間の虫歯や、古いプラスチックの詰め物を治療し、審美的に回復しています。小さい虫歯は歯科用拡大鏡を使用し、保険治療で頻繁に使用するレジンという材料で修復しています。
治療前
治療後
上顎から見た口中の写真
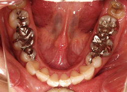
虫歯になっている歯はもちろん、この患者様は銀歯をすべて白い歯で治療されています。
治療前
治療後
下顎から見た口中の写真
ただ単純に白い歯にすればきれいに見えるかもしれませんが、その歯が長くきれいに保つためには様々な問題をクリアしていかなければなりません。私達ができること、それは、その基礎となる環境を整えることだと考えています。(歯の神経の治療に限らず歯周病、かみ合わせ、適合精度や審美的観点から技工物を製作できる技工士と付き合うことなどなど。)御自身の日々のお手入れ(歯磨きなど)や、クリニックに定期的に御来院いただきメンテナンス管理させていただくことで、この状態を少しでも長く維持できることを心より望み、心がけています。
あなたの白い歯の中は、自身をもって大丈夫と言えるでしょうか?
白い差し歯をかぶせてしまえば・・・白くは見えます・・・
治療前
治療後
- 治療期間
- 約1年
- 費用
-
コンポジットレジン:約2,200円(税込)/本(保険適応) ➡ 8,800円(税込)(4本治療)
セラミックインレー:9.9万円(税込)/本 ➡ 39.6万円(税込)(4本治療)
オールセラミッククラウン13.2万円(税込)/本 ➡ 92.4万円(税込)(7本治療) - リスク
- セラミックは、強度の観点から、噛み合わせによっては割れたりするリスクがあります。
人工歯(セラミックなど)の製作にあたり、支台歯(治療する自分の歯)を削ります。製作する人工歯について、歯の形(形態)、色は、可能な限り希望に沿うよう努力しますが、治療する支台歯(自分の歯)の隣の歯や、対合歯(噛み合う相手の歯)の位置などの状態により様々な制約を受けます。歯科医師、歯科技工士の診断により、治療後の人工歯の破折、脱離(はずれる)、支台歯(治療する自分の歯)自体の破折、脱離が予測される場合は、それを防ぐために歯を削れる量が制限されるため、ご希望とされる色や形(形態)にできない場合もありますので、予めご了承ください。
治療費、期間、リスクはあくまで参考(目安)であり、患者個々の状態により異なる場合があります。結果を保証するものではございませんので、必ず主治医と相談してください。



