症例紹介Cases
上下顎臼歯部欠損に対して骨造成処置を行い、インプラントを埋入して包括的治療を進めたケース
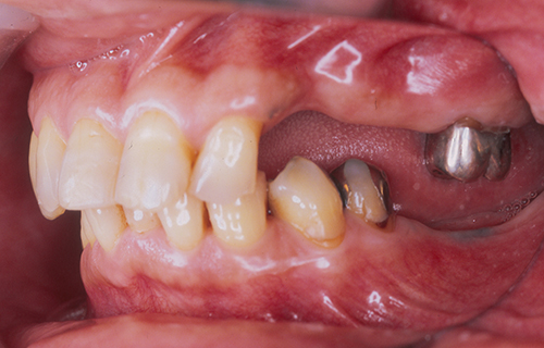
治療前(左側)
上下顎左右共に奥歯に歯がない状況で来院されました。

治療前レントゲン写真
レントゲン写真で確認すると、インプラントを安全に埋入できるだけの骨が無い状況でした(黄色点線)。 インプラントを埋入できる環境を整える必要があります。

骨造成処置
上顎では、骨造成処置(サイナスリフト)を施術することにより、インプラント療法を行える環境を整えました。
歯科用CTによる精密検査
歯科用CTによる精密検査を行い、3次元的に現状の把握、または術後の状態を確認していきます。 安全に、治療計画通り埋入出来たことが確認されました。

治療後
左側だけで、上下併せて4本のインプラント体を埋入しています。

治療後レントゲン写真
右側も同じようにサイナスリフトを行い、インプラント療法を行い機能回復しています。

- 治療期間
- 約2年
- 費用
- GBR(下顎の骨造成手術):13.2万円(税込)
サイナスリフト(上顎の骨造成手術):33万円(税込)/箇所 ➡ 66万円(税込)(2箇所治療)
インプラント治療:50.6万円(税込)/本 ➡ 354.2万円(税込)(7本治療)
FGG(歯ぐきを厚く頑丈にする手術):11万円(税込)/箇所 ➡ 33万円(税込) - リスク
- GBR、FGG、インプラント治療を行う事により、手術中、術後感染すると、粘膜の裂開、顎骨を含めた歯周組織へのダメージを与える可能性、サイナスリフトを行う事により、手術中、術後に上顎洞粘膜穿孔、感染すると、副鼻腔炎を起こす可能性があります。そのリスクを避けるために、CT撮影、サージカルステントなどの画像診断、治療用の専用器具利用などで対応しています。
治療費、期間、リスクはあくまで参考(目安)であり、患者個々の状態により異なる場合があります。結果を保証するものではございませんので、必ず主治医と相談してください。



